Исправим любой прикус в любом возрасте элайнерами и брекетами

Изображение
Брекеты + установка
от 56 000 ₽/1ряд
Джемилева Лиля
Джемилева Лиля Эскендеровна
Врач ортодонт, соискатель к.м.н.

Вас принимает топ ортодонт в клинике международного уровня

Каждый 2-й пациент приходит по рекомендации
Антивозростная стоматология (концепция AntiAge)
90% случаев исправляем без операции. Работаем не только с прикусом, но и со здоровьем сустава (ВНЧС)
16 лет опыта клинической и научной ортодонтии в России и зарубежом

Каждый 2-й пациент приходит в клинику по рекомендации! – выровняем любой случай

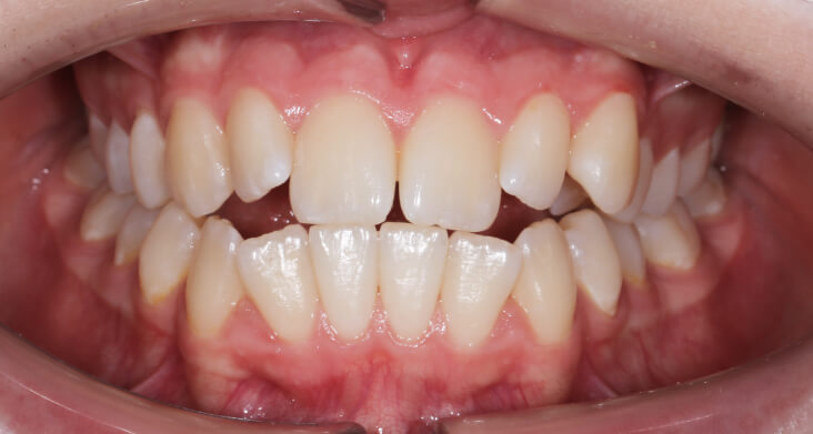
Исправляем все виды неправильного прикуса:
Глубокий
Дистальный
Мезиальный
Перекрёстный
Открытый
Прямой
Картинка
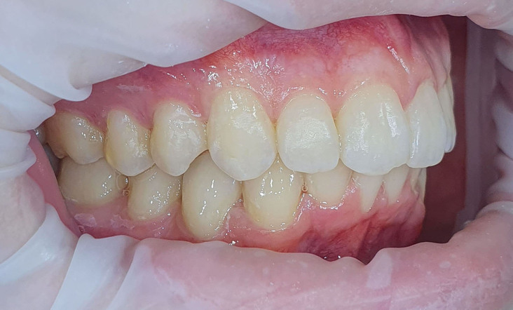
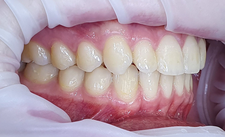
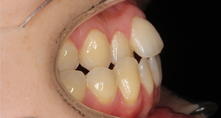
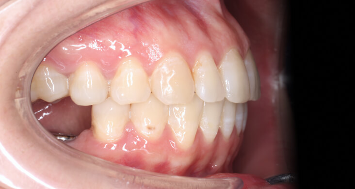
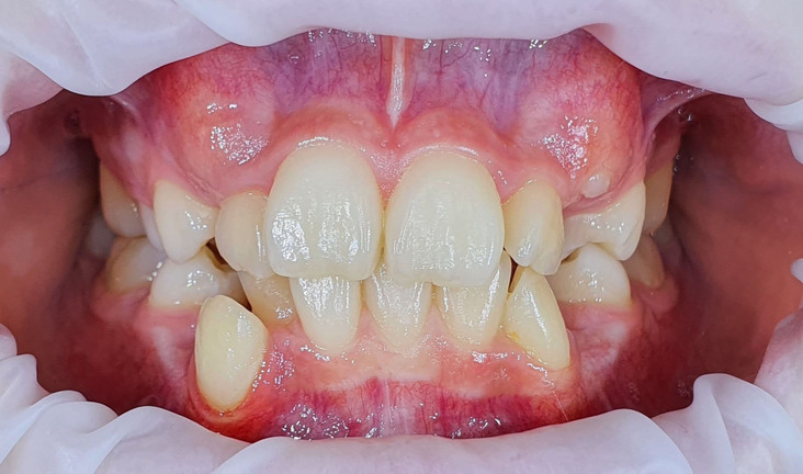
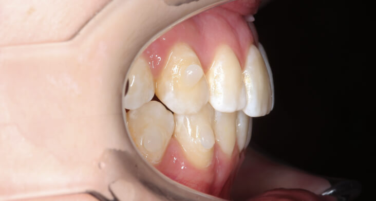
Глубокий
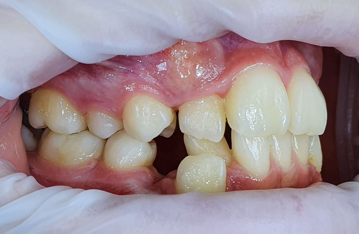
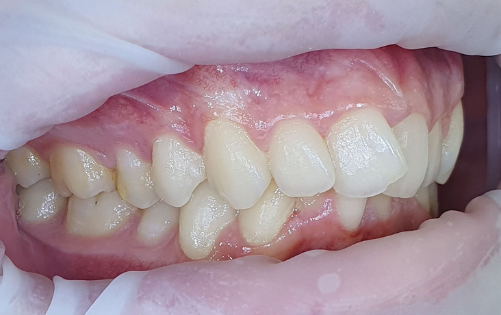
Фото после
Фото до
Металлические
брекеты
результат за
2 года
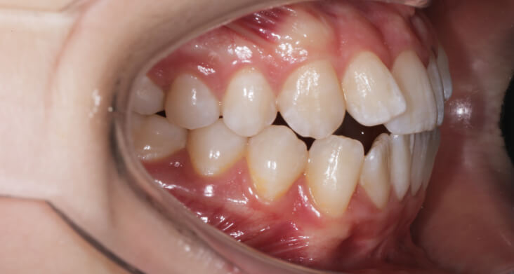
Фото после
Фото до
Металлические
брекеты
результат за
2 года
Картинка
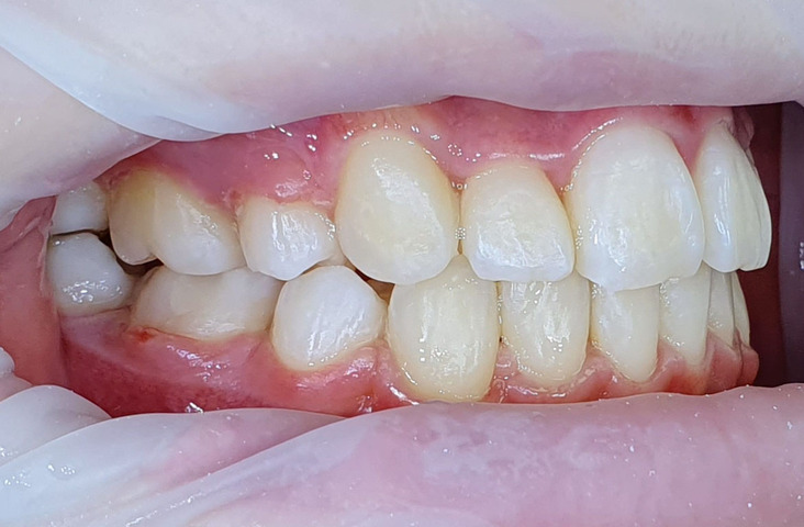
Дистальный
Фото после
Фото до
Металлические
брекеты
результат за
1,5 года
Фото после
Фото до
Металлические
брекеты
результат за
1,5 года
Картинка
Мезиальный
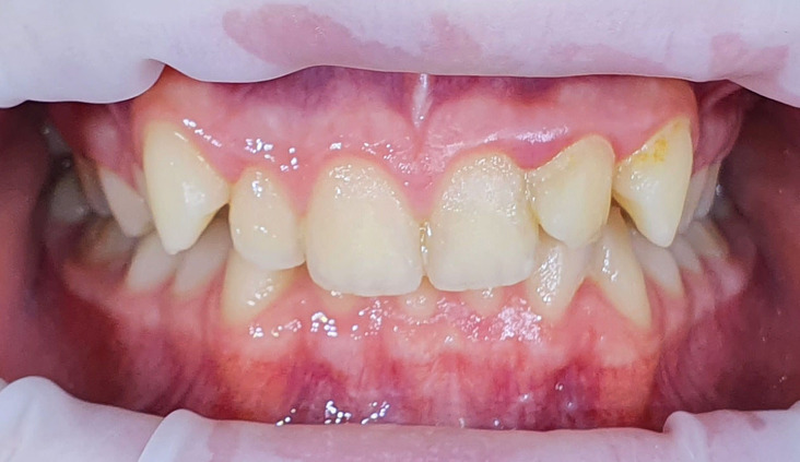
Фото после
Фото до
Элайнеры
результат за
2 года
Фото после
Фото до
Элайнеры
результат за
2 года
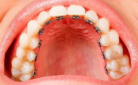
Картинка
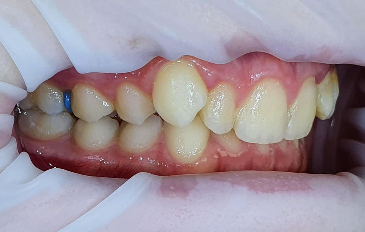
Перекрёстный
Фото после
Фото до
Лингвальные
брекеты
результат за
2 года
Фото после
Фото до
Лингвальные
брекеты
результат за
2 года
Картинка
Открытый
Фото после
Фото до
Керамические
брекеты
результат за
1,5 года
Фото после
Фото до
Керамические
брекеты
результат за
1,5 года
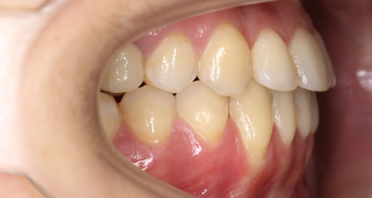
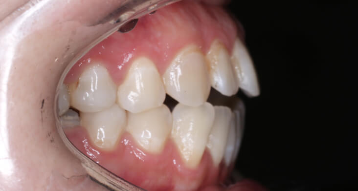
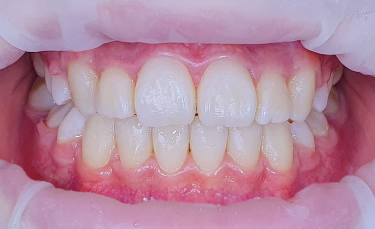
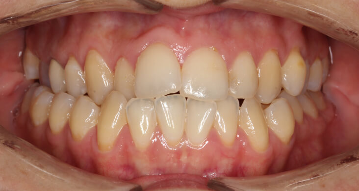
Картинка
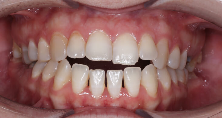
Прямой
Фото после
Фото до
Керамические
брекеты
результат за
2 года
Фото после
Фото до
Керамические
брекеты
результат за
2 года

Пройдите полную комплексную диагностику и получите:

  • Консультацию у врача-ортодонта — 1200 бесплатно
  • Подбор брекет системы или элайнеров под ваш случай — 1200 бесплатно
  • КТ, прямое и боковое ТРГ — 11 000 ₽ 7 200 ₽

Брекеты европейских и американских брендов

Металлические брекеты «Experience»
Самые прочные. Помогут исправить даже сильные нарушения прикуса.
64 000
цена на 1 зубной ряд
Керамические брекеты «Experience»
Лёгкие и незаметные. Подходят под оттенок эмали.
106 000
цена на 1 зубной ряд
Лингвальные брекеты «Win»
Максимум эстетики. Внутренние брекеты невидимы для окружающих.
200 000
цена за 1 зубной ряд
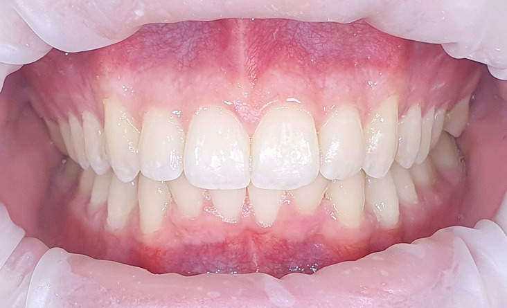
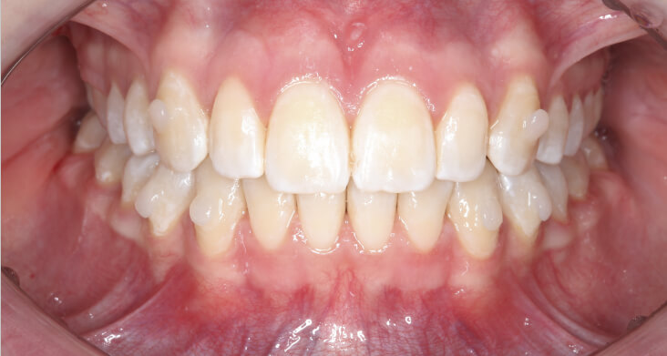
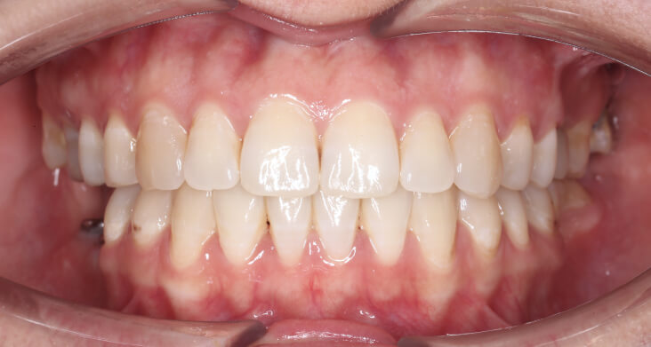
Исправляем прикус 1 раз и на всю жизнь

Изготовим элайнеры с контролем качества в собственной лаборатории

из американских материалов
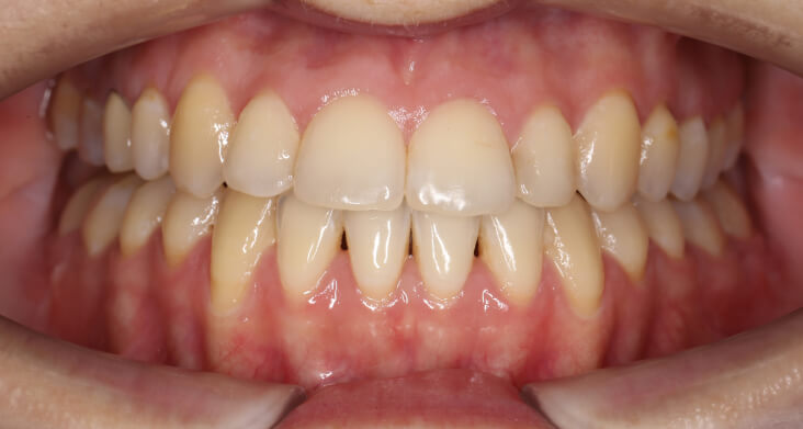
Изображение

Результат лечения элайнерами

Элайнеры
Съёмные и незаметные — не нужно менять стиль жизни или рацион питания. С ними легко ухаживать за зубами.